緑内障とはどんな病気?!
40歳以上の日本人20人に1人が発症しているという調査結果のある、緑内障。中途失明原因の第1位となっている怖い目の病気です。ただし、その病状は徐々に進行する慢性の経過をたどる上に自覚症状も乏しく、異変に気づいて受診する頃にはかなり進行していることも少なくありません。
罹患していても実際に治療を受けている方は約2割にとどまり、残り8割は治療せずに放置状態となっています。結果として失明に至ることもあり、そんな状況を避けるためにも、早期発見・早期治療が必要な疾患として認識しておきましょう。
緑内障の症状・種類・危険因子
緑内障は、何らかの原因により視神経に障害が起こり、視野が徐々に狭くなったり欠けたりする病気です。視神経や視野に影響を及ぼす眼圧の上限ラインには個人差がある上に、私たちは普段、2つの眼で物などを見ているため、片方の眼の視野の一部が欠けていても、もう片方の眼が補います。そのため、ほとんどの場合、自覚症状に気づきにくいのが特徴です。
人によっては、発病してから何年もたってから気づくこともあります。そして、視力の変化を感じるころには緑内障が進行していることも少なくありません。現代の医学では、治療により症状の進行を遅らせることはできますが、一度失われた視野を元に戻すことはできません。
日本人の緑内障には、いくつかのタイプがあり、一般的に緑内障と呼ばれているのは、原因がはっきりわからない「原発緑内障」です。また、別の分類では、「正常眼圧緑内障」といって、眼圧は正常範囲内(10~21mmHg)であるのに病状が進行する緑内障もあります。全国的な調査の結果、日本人の緑内障の約7割がこのタイプだと判明しています。緑内障になりやすいのは、以下のような疾患などを持つ方です。
●網膜や視神経の血流が悪くなる低血圧・高血圧・糖尿病などの内科的疾患
●偏頭痛や睡眠時無呼吸症候群
●遠視やその反対にマイナス6以上の強度近視
●加齢
これらの疾患は緑内障の危険因子として、要注意です。また、血縁者に緑内障の患者がいる場合にもリスクは高いといえます。いずれにしても、緑内障においては早期治療が最善策です。40歳を過ぎたら、1年に一度の定期検診をおすすめします。それにより緑内障を指摘されたら、さっそく治療を始めましょう。
当院では、技術革新めざましい眼科の新しい機器備え、適切な検査を行った上で、患者さまにその画像説明や病状も丁寧に行います。そうして患者さまの理解を深めてから、診断・治療へと進んでいきます。
視神経乳頭陥凹拡大といわれたら?
人間ドックや健診(眼底写真)の結果、「視神経乳頭陥凹拡大」が見つかり、眼科で「精密検査を受けるように」と言われて、当院を受診される方が増えています。これは、緑内障の疑いがある、状態を示しています。
眼の奥に視神経があり、網膜の神経線維が眼球から出ていく部分が「視神経乳頭」で、そこにあるくぼみを視神経乳頭陥凹といいます。視神経に障害が起き、神経が死んでしまうと、視神経乳頭陥凹の形が大きくなったり、変形したりします。視神経乳頭にはたいてい陥凹(へこみ)があるものですが、眼圧が高くなるとさらに乳頭の陥凹が大きくなります。通常の陥凹はおよそ3~4割ですが、6~7割になると要注意とされています。
視神経乳頭陥凹拡大には3つのタイプがあります。まず緑内障と認められるもの、次に病的な異常ではなく、生まれつき視神経乳頭陥凹拡大のタイプ、最後に強度の近視や視神経低形成、糖尿病網膜症など緑内障以外の病気の可能性もあります。乳頭陥凹拡大の症状がそうした病気によるものなのか、または生理的なものなのかを判断するためにも、各種検査が必要です。
一旦、拡大した陥凹は治療しても小さくなることはありません。それは緑内障が進行する可能性を示唆しています。そこで、視神経乳頭陥凹拡大が見つかったら、6カ月~1年に1回、精密検査を受けて、必要に応じて治療を受けることをおすすめします。
1.細隙灯顕微鏡検査(隅角鏡検査も含む)
眼科を受診した際に行う最も基本的な検査で、角膜・結膜・前房・虹彩・水晶体などを観察します。隅角鏡検査では、特殊なミラー付きレンズを用いて、隅角(眼の中の水の排水口の部分)に異常ないかどうかを検査し、緑内障の分類を行う上で重要です。
眼底検査
緑内障を早期に発見したり、経過観察をおこなうために必要な検査です。眼の奥に光を当てることで、視神経や網膜、血管などの状態を調べます。視野の異常よりも早く現れる視神経乳頭陥凹や網膜神経線維層の変化を把握することで、緑内障の早期発見に役立ちます。とくに、眼圧に大きな変化が出ない正常眼圧緑内障の診断にこの検査の結果が期待できます。
緑内障の検査について
緑内障が疑われる場合や、定期検診において、まずは検査を行います。その結果、「緑内障であるのか」「そうでないのか」「緑内障ならどの程度進行しているのか」など、眼の状態を把握し、必要であれば治療へと進みます。
当院では、以下の各検査を行い、総合的に判断した結果をもとに治療計画を立て、患者さまにご説明しております。また、当院の方針として、できるだけ精密な診療を行うために、常に新しい機器などを導入していきます。機器や検査について、ご質問、ご要望があれば、最寄りのスタッフ、または院長までお声掛けください。
眼圧検査
緑内障の検査で最も基本的で重要な検査。
眼圧は血圧のように、測定する時間帯による高低があるほか、個人差もあります。日本人には正常眼圧緑内障のケースが非常に多いので、眼圧が正常範囲内であっても決して安心はできません。
眼圧検査
緑内障の検査で最も基本的で重要な検査。
スクリーニング検査として「非接触型空気眼圧計」を用いており、眼の表面に空気を当てて、眼の表面が一旦へこんでから元に戻る時間を測定する方法です。空気が勢いよく噴射されるので苦手な方もいますが、その場合は事前に練習をしてから測定したり、別の方法を行ったりします。
(1) 非接触型眼圧計
スクリーニング検査として「非接触型空気眼圧計」を用いており、眼の表面に空気を当てて、眼の表面が一旦へこんでから元に戻る時間を測定する方法です。空気が勢いよく噴射されるので苦手な方もいますが、その場合は事前に練習をしてから測定したり、別の方法を行ったりします。
(2) ゴールドマン圧平型眼圧計
緑内障検査として眼圧の数値をより精密に導き出すために、「ゴールドマン圧平型眼圧計」を利用します。これは点眼麻酔の上、眼の表面に直接測定機器を当てて測定する方法です。
(3) アイケア眼圧計
ゴールドマン圧平型眼圧計をより簡便なものにしたのが、「アイケア眼圧計」です。これなら、麻酔をしなくても痛みを感じることなく、数秒で測定完了。安全性も高く、これまで測定が困難だった患者さま(眼圧が不安定な患者さま、車椅子の患者さま、往診時など)に利用できるので検査対象の幅が広がりました。
緑内障検査として眼圧の数値をより精密に導き出すために、「ゴールドマン圧平型眼圧計」を利用するケースもあります。これは点眼麻酔の上、眼の表面に直接測定機器を当てて測定する方法です。
その接触型測定器をより簡便なものにしたのが、「アイケア眼圧計」です。これなら、麻酔をしなくても痛みを感じることなく、数秒で測定完了。安全性も高く、これまで測定が困難だった患者さま(眼圧が不安定な患者さま、車椅子の患者さま、往診時など)に利用できるので検査対象の幅が広がりました。
眼圧は血圧のように、測定する時間帯による高低があるほか、個人差もあります。日本人には正常眼圧緑内障のケースが非常に多いので、眼圧が正常範囲内であっても決して安心はできません。
眼底検査
緑内障を早期に発見したり、経過観察をおこなうために必要な検査です。眼の奥に光を当てることで、視神経や網膜、血管などの状態を調べます。視野の異常よりも早く現れる視神経乳頭陥凹や網膜神経線維層の変化を把握することで、緑内障の早期発見に役立ちます。とくに、眼圧に大きな変化が出ない正常眼圧緑内障の診断にこの検査の結果が期待できます。
超広角走査型レーザー眼底カメラ
超広角走査型レーザー眼底カメラ
超広角走査型レーザー眼底カメラ使用
通常眼底カメラ
通常眼底カメラ
通常眼底カメラ使用
眼底写真撮影
陥凹部分が大きくなっている場合は、緑内障が進行し、網膜神経線維が欠けて視野が狭待っていることを示しています。網膜神経線維層が薄くなっている可能性があり緑内障の進行が疑われます。
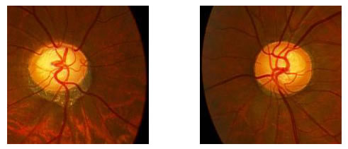
正常眼底。
正常の視神経乳頭陥凹。凹みの大きさは通常3~4割
緑内障の視神経乳頭陥凹が拡大(8割)し、耳側の乳頭辺縁部が薄い
視神経乳頭出血(拡大)。
網膜神経線維層欠損 ▲で囲まれた部位。
緑内障性視神経萎縮(拡大)陥凹が拡大し、色調が蒼白。
視野検査
眼を動かさない状態で、視野=見える範囲を測定する、緑内障では必須の検査です。光の見え方を検査して、視野が欠けている部分の有無やその大きさ、緑内障の進行度を測定します。視野検査には、以下の2種類があります。
(1) 動的視野検査(ゴールドマン視野計)
緑内障の、とくに中期以降で自覚症状が出ている段階で行う検査。視野全体をひと目で把握することができる検査なので、かなり進行したケースでもその度合いがわかりやすいといえます。
検査の手順は、以下のとおりです。
患者さまにはブザーを持って、目は大きく開けてドーム内の目標の点を見つめたまま動かさず、視標の光を感じたらすぐにブザーを押します。はっきりと見えなくてもOKです。
この検査を行うのに、片眼で約10分かかります。楽な姿勢で検査を受けられるよう、検査台と椅子の高さや位置を事前に調整しますが、検査途中でつらくなった場合には検査担当者にお申し出ください。休憩をとることもできます。また、瞼が開きにくい患者さまの場合には、テープで吊り上げさせていただくこともあります。
(2)静的視野検査(ハンフリー視野計)
緑内障の早い段階で必ず行う検査です。コンピュータによる自動視野計により光の感度低下の状況を検出しやすいので、初期診断に適しています。測定点の感度の変化を数値化して、長期間にわたる客観的データを得ることができます。検査の方法は①のゴールドマン視野計と同じです。
上の図の黒い部分が、視野の狭いところになります。下の図の黒い四角い点が、ピカピカと視標を光らせたけどボタンを押すことが出来なかった、見えていなかった部分になります。
初回の検査から今回の検査までの視野進行を解析します。この患者さんの場合、85歳までは進行はゆっくりでしたが、ここから急に悪化しています。経過が視覚的にもご理解して頂き易く、治療強化のタイミングを図る目安になります。
緑内障の進行パターン
患者さんの目から見たイメージ像
ZEISS製ハンフリーフィールドアナライザー(●型番)は、2つの新しいプログラムを搭載しています。
①SITA Faster 24-2Cテスト:
中心視野のポイントを10点追加することにより、緑内障の影響を受けやすいと言われている領域をカバーするので、早期緑内障の発見に役立ちます。
②SITA Faster 24-Fテスト:
検査の精度を保ちながらも、より早い視野検査を可能能としたので、検査時間が今までのSITA Fastと比較して約30% 短縮されます。ご高齢の患者さんや視野検査が苦手な患者さんを対象にご負担を少しでも減らすことが出来ればと思います。
OCT(光干渉断層計)検査
短時間で眼の奥を観察し、視神経乳頭陥凹の程度、乳頭周辺の網膜神経線維層の厚み、黄斑部の網膜神経節細胞層の厚みなどを測定する検査です。
この器機では、正常の人と比べて「どれだけ神経が薄いか?」を測定し、「どれだけ病気が進んでいるか?」などを解析します。さらに視神経障害が始まっていても通常の視野検査では検出できない極早期緑内障を検出するために不可欠な解析プログラムも搭載しています。
視野検査と同様に定期的な経過観察を行うことで緑内障の早期発見、早期治療に繋げることが出来ます。
OCT(光干渉断層計)検査
短時間で眼の奥を観察し、眼底(網膜)の神経の厚みを測定する機器による検査。(→視神経乳頭陥凹の程度や乳頭周辺の網膜神経線維層の厚みを測定する機器による検査。
この機器=OCTは、早期緑内障を検出するために不可欠な解析プログラムを搭載している上に、黄斑部の断面図も観察できるので眼科疾患の早期発見・早期治療に有効です。OCT検査による緑内障検査では、正常の人との比較でどれだけ神経が薄いか測定することで、緑内障予備軍の発見やその進行による視神経の障害状況を診断します。(→視神経障害が始まっていても通常の視野検査では検出できない極早期緑内障を検出するために不可欠な解析プログラムも搭載しており、正常の人と比べて「どれだけ神経が薄いか?」「どれだけ病気が進んでいるか?」なども解析します。
視野検査と同様に定期的な経過観察を行うことで緑内障の早期発見、早期治療に繋げることが出来ます。
さらに当院のOCTとハンフリー視野計は同じZEISS製の為、データ管理システムFORUMを導入し、それぞれのデータをコンピュータで合成した結果が1つの画像として得られます。緑内障による眼の構造的異常と機能的異常の相関性が一目瞭然で、診断や経過観察にも有用です。
画面上の画像などの情報は患者さまにも見ていただきながら説明するほか、プリントしてお渡しするなどに役立てます。
緑内障の治療――検査~診療の流れ
検査
一般的な眼圧、眼底(眼底カメラ含む)、OCT検査など必要な検査を行い、その結果次第で視野検査を行います。その検査結果を総合的に判断した上で、緑内障診療へと進みます。
視野には影響はないが、神経線維が減少している予備軍の患者さまには、定期的に検査を受けていただきます。
診察
検査結果から、緑内障の診断が下ったら、検査結果の資料とともに治療の過程が説明されたチャートやDVDにより、現状と以後の治療計画について患者さまに説明を行います。そのほか、診療スケジュール表(1~2カ月に1回の基本検査、4~6カ月に1回の視野検査やOCT検査など)や点眼薬の効果測定カードなどを渡します。
当院では、参天製薬が提供する緑内障患者さん向けの「通院継続支援システム:ACTPack」を導入しています。
https://www.santen.co.jp/medical-channel/oph/glaucoma/shindan/actpack_voice/AB547_actpack_voice.pdf
治療
緑内障の治療には、「薬物治療」「レーザー治療」「手術」の3つの方法がありますが、いずれも残っている健全な網膜神経線維や網膜神経節細胞を守るために、眼圧を下げることを目的に行います。どの治療法を選択するかは、緑内障の種類や病状に応じて決めることとなります。
多く患者さまの場合、院長がきちんと説明を行った上で、点眼薬の処方を行いますが、年齢や症状、進行の度合いなどによって薬の選択は異なります。点眼薬は高い効果は見込めますが、一方で副作用もあります。設定した目標眼圧の数値以下に下がらない場合は、別の薬剤に切り替えて使用または追加併用することも行います。さらにそれでも効果がない場合には、レーザー治療や手術を考慮します。手術の際には、提携している大きな病院を紹介します。どの治療法の選択をするにせよ、患者さまのご希望もうかがった上で決定することになります。
OCTの導入でどうなるの?
この度のOCT導入により、当院の緑内障診療と網膜診療のレベルが確実に上がったことを実感しています。
いずれも早期診断が可能となり、経過観察にとても有用です。画面上に映し出される情報量は非常に多いのですが、検査結果のカラー表示が見やすく、 患者様へのインフォームドコンセントの手助けとなっています。
GDxアクセスでは、検査時間が意外と長く、検査を受ける体勢が辛いとの声がありましたが、 OCTでは「こちらの器械の方が楽です」とおっしゃって頂いております。
正常眼底
加齢黄斑変性
黄斑円孔
網膜静脈分枝閉塞症
正常眼底
網膜神経線維層の厚さ
GCA
正常眼圧緑内障(右極早期?・左初期)
右視神経乳頭は、一見正常のように見えるのですが。。。
左視神経乳頭の陥凹拡大と下方リムの菲薄化、
さらにその領域に一致した網膜神経線維層の欠損を認めます。
最後に
眼底検査・静的視野検査・GDxの検査結果を症例毎にお示し致します。
当院では、一般的な眼圧検査・眼底検査・視野検査・隅角鏡検査などを行った上で、最新のGDxアクセスも行い、これらの検査結果を総合的に判断して緑内障診療に取り組んでおります。もしご質問等がございましたら、お気軽に院長までお尋ねになって下さい。
ハンフリー静的視野検査
右眼は正常範囲内で経過も安定しています。
左眼は中心閾値が低下し、増悪傾向を呈しています。
右正常眼圧緑内障(中期)
右視神経乳頭の陥凹拡大と下方リムの菲薄化。
左視神経乳頭は正常。
網膜神経線維層の厚さ
左眼は正常ですが、左眼は、下方リムの菲薄した部位と網膜神経繊維の菲薄化(赤色)が一致。
GCA
左眼は正常で、右眼は下方リムの菲薄した部位に一致して菲薄(赤色)しています。
ハンフリー静的視野検査
(2)静的視野検査(ハンフリー視野計)
緑内障の早い段階で必ず行う検査です。コンピュータによる自動視野計により光の感度低下の状況を検出しやすいので、初期診断に適しています。測定点の感度の変化を数値化して、長期間にわたる客観的データを得ることができます。検査の方法は①のゴールドマン視野計と同じです。
右眼は、上半盲に近い状態で増悪傾向を呈しています。
左眼は正常範囲内で経過も安定しています。
4.検査結果は?!
参考までに正常眼と緑内障眼のパターンの比較を掲載しておきます。
最後に
当院では、一般的な眼圧検査・眼底検査(眼底カメラも含む)・視野検査などをおこなった上で、病状に応じてOCTもおこない、 これらの検査結果を総合的に判断して網膜診療と緑内障診療にあたっております。
また、私たちは、常に新しいものに目を向け、進歩する医療と患者様のニーズに応えるためスタッフと共に向上心を持って診療に取り組んでいます。
器械が変わったことにより、戸惑っておられる患者様もおられるようです。
もしご質問等がございましたら、最寄りのスタッフまたは院長までお気軽にお尋ねになってください。
1.はじめに
最近の緑内障疫学調査では、眼圧は正常な値である10~21mmHgの範囲にありながら、既に緑内障にかかっている“正常眼圧緑内障(NTG)”の患者さんが多いことが解りました。
また、視野検査で緑内障が発見された時には、既に40%近くもの網膜の神経線維層が欠損していることも解り、眼圧検査や視野検査では、緑内障を早期に発見することが難しくなってきました。緑内障を早期発見する為には、眼底検査が最も有用だといわれています。しかし、各眼科医の眼底評価には、個人差が存在するため緑内障性眼底変化を評価・判定する方法の標準化の確立が望まれていました。
2.こんな検査機器
GDxアクセスは、網膜の神経線維層の厚みを測定する最新の緑内障診断装置で、緑内障の早期発見と経過観察を行う目的で開発されました。 視神経の検眼鏡的検査は、眼圧検査や視野検査のように検査結果を数字として捉えることが出来ないので、医師の主観的な判断に委ねられています。当院が導入したGDxアクセスは、検査結果を数字として捉えることが出来ます。また、同年代の正常者の検査結果とコンピュータで統計解析されますので、患者さんの神経線維層の厚みが正常範囲内にあるのかどうかを客観的に判断することも可能です。
さらに、検査結果はコンピュータに保存されるので、次回の来院時に再度GDxアクセスで測定して病状が進行しているのか安定しているのか、またどの部位が進行しているのかなどをカラーマップやグラフを用いて容易に確認出来るため治療方針を決定する上でも非常に役立ちます。この装置は、従来の視野計で異常が検出されるよりも前の段階で緑内障を診断することも可能です。当院では、平成19年1月よりGDxアクセスを導入し、緑内障診療に役立てています。
3.痛かったり、しんどくないの?!
緑内障の診断のためには、眼圧測定・眼底検査・視野検査を必ず行いますが、特にご高齢の患者さんにとって5分以上の集中を要する視野検査を行うことは困難な場合も多く、検査中の疲労により測定結果が不安定になることもあります。特に緑内障の病期が進行した患者さんの場合、片眼だけで7~8分費やすということもよくあります。
眼圧検査のように眼に風が当たる事もありません。眼底カメラのようにフラッシュの光による眩しさもありません。視野検査のようにドームの中を覗きながら一点に集中して応答スイッチを押す必要もありませんので、患者さんの負担は少なくなっています。ただ、覗き込んだレンズの中に見える小さく点滅する光を見ているだけで、5分程度で終了します(初回に限りもう少しお時間が掛かります)。












